В Подмосковье клиент частной стоматологической клиники проглотил бур на приеме у врача Мужчина пришел лечить зубы, но что-то пошло не так и насадка...

В Подмосковье клиент частной стоматологической клиники проглотил бур на приеме у врача

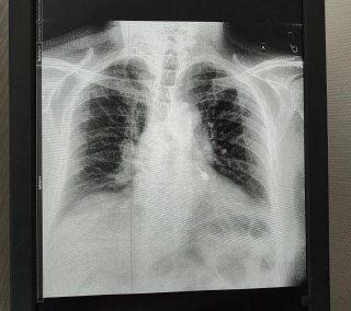
Мужчина пришел лечить зубы, но что-то пошло не так и насадка попала ему в дыхательные пути. Спасали пациента врачи Мытищинской больницы.

При диагностике медики обнаружили инструмент в левом бронхе.

«Ситуация требовала срочную операцию: любое промедление могло привести к серьёзным осложнениям, вплоть до летального исхода. Главная задача заключалась не просто в удалении инородного тела, а в том, чтобы сделать это максимально аккуратно: острая часть бура могла повредить стенки бронха, вызвав кровотечение или перфорацию. Специальным эндоскопическим инструментом бур был надёжно зафиксирован и плавно извлечён — без травмирования окружающих тканей», — рассказала врач-эндоскопист Мария Юрченко.

После операции состояние пациента быстро стабилизировалось, никаких осложнений не возникло. Спустя несколько дней мужчину выписали домой, сейчас он в порядке.

📱 Подпишись на интересные новости | Мы в МАХ

Комментарии
Присоединяйтесь к обсуждению и поделитесь своим мнением
Читать комментарии

Добавить комментарий

Закрытый Telegram-канал Московской области

То, о чем не пишут в СМИ
Подписывайтесь на наш закрытый ресурс, где мы публикуем только главные и самые резонансные события без лишнего шума.
Телеграф 18+