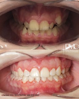
Качественное и безопасное детское ортодонтическое лечение в DM_Stomclinic Быстрые сроки Широкий спектр услуг детской стоматологии «Во сне»...

Качественное и безопасное детское ортодонтическое лечение в DM_Stomclinic

Быстрые сроки
Широкий спектр услуг детской стоматологии «Во сне» с максимальным снижением стресса и боли

Имеются противопоказания. Необходима консультация специалиста.
*Лицензия на осуществление медицинской деятельности № Л041-01137-77/01635625 от 18.12.2024 выдана Департаментом здравоохранения города Москвы

Комментарии
Присоединяйтесь к обсуждению и поделитесь своим мнением
Читать комментарии

Добавить комментарий

Закрытый Telegram-канал Московской области

То, о чем не пишут в СМИ
Подписывайтесь на наш закрытый ресурс, где мы публикуем только главные и самые резонансные события без лишнего шума.
Телеграф 18+